Celebrity Dentist Reveals The Secrets Behind Perfect Hollywood Smiles… As Well As The Eye-watering Cost
Celebrity Dentist Reveals The Secrets Behind Perfect Hollywood Smiles… As Well As The Eye-watering Cost




uaetodaynews.com — Celebrity dentist reveals the secrets behind perfect Hollywood smiles… as well as the eye-watering cost
A smile says a lot about a person – and that is why celebrities will pay for the best.
Beverly Hills-based dentist Dr. David Frey has spent over 30 years in the industry, and declares that the smile is the ‘most important thing on the face’ – so it is vital to make sure it is perfect.
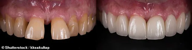
Dr. Frey, who has surgeries in LondonLA and Dubaiis known for his porcelain veneers, using the delicate material to create a 1,000-watt smile.
Veneers are coverings that fit over the front surface of your teeth, which can conceal a wide range of aesthetic imperfections, including chips, cracks, gaps, tooth discoloration and more.
The procedure, which can take weeks from the initial consultation to the actual application, involves removing the enamel from the natural teeth before the new surfaces are placed on top.
Dr. Frey prides himself on creating the ‘perfect smile’ through this procedure – but warns it can come at a price.
The dentist, who counts A-list actress Zendaya as a former patient, spoke to the Daily Mail to lift the lid on the dental habits of Hollywood’s finest – including how much they pay for a set of dazzling veneers.
Dr. Frey estimates it costs between $3,000 to $5,000 per porcelain veneer, with an entire set costing between $200,000 to $350,000.
Beverly Hills-based dentist Dr. David Frey has spent over 30 years in the industry, and declares that the smile is the ‘most important thing on the face’ – so it is vital to make sure it is perfect
He says charging anywhere from $100,000 to $125,000 to change the overall look of a smile is ‘really routine.’
‘It is really the range that you’re gonna pay for a high-quality cosmetic dentist who’s experienced and has seen lots of patients,’ he explained.
‘It’s very difficult to charge per case, and typically, if a celebrity or a billionaire or someone wants you… You can never find them,’ he cryptically told the Daily Mail. ‘If they want you, they find you.’
Dr. Frey explained that creating and applying porcelain veneers to patients requires a ‘high artistic component to it,’ making it difficult sometimes to put a price range on the full treatment.
‘I mean, we’re looking like Picasso, Rembrandt – there’s no price that you could put on it,’ he said.
‘It’s a priceless procedure if you’re trying to put a single dollar amount on it. So you could really charge whatever you want.’
Dr. Frey said there are three main styles of veneers, which refer to the shape of the fake teeth – square, rounded and enhanced, the latter of which is a combination of the two.
‘We steer people away from the square because they tend to look like an older look,’ he explained, revealing the enhanced shape is the most popular.
Dr. Frey, who has surgeries in London, LA and Dubai, is known for his porcelain veneers, using the delicate material to create a 1,000-watt smile
Dr. Frey estimates it costs between $3,000 to $5,000 per porcelain veneer, with an entire set costing between $200,000 to $350,000
Another accessible tool that Dr. Frey has seen a lot of successful results in is a water flosser (pictured) which is a device that uses a stream of pressurized water to clean between teeth
However, he has noticed that women tend to opt for rounder shapes while men go for more square.
For those who can’t afford a set of veneers, Dr. Frey has some other tips to make sure your smile makes it to the A-list.
‘I mean, without porcelain veneers, a lot of the patients brush with hydrogen peroxide,’ the expert shared.
‘They dip some hydrogen peroxide and water together, (it’s) like an oxidizer.’
Dr. Frey also reiterated how important it is to go to the dentist regularly and get checkups.
‘It’s really just down to the basics of just brushing and flossing every day, that’s really the key,’ he said.
The dentist also stressed the importance of a good quality toothbrush.
‘It’s really about the mechanical brush, removing the plaque, more than the toothpaste itself,’ he revealed.
Another accessible tool that Dr. Frey has seen a lot of successful results in is a water flosser, which is a device that uses a stream of pressurized water to clean between teeth and remove food particles, plaque, and bacteria.
‘It takes plaque about 24 hours to come back after you remove it,’ he explained, with a water flosser effectively removing unwanted leftovers from your teeth.
He recommends brushing your teeth twice a day, making sure to clean all around and in between the teeth.
Disclaimer: This news article has been republished exactly as it appeared on its original source, without any modification.
We do not take any responsibility for its content, which remains solely the responsibility of the original publisher.
Disclaimer: This news article has been republished exactly as it appeared on its original source, without any modification. We do not take any responsibility for its content, which remains solely the responsibility of the original publisher.
Author: uaetodaynews
Published on: 2025-10-16 17:12:00
Source: uaetodaynews.com



